Miniature Medical Marvels
Parents of conjoined twins had faith miracle babies would survive
On August 29, the parents of conjoined identical twins Owen and Emmett Ezell spoke to the media for the first time since their miracle babies were born more than a month ago. The twins recently underwent a complicated separation surgery at Medical City Children's hospital in Dallas and are now in stable condition.
Owen and Emmett are still on breathing machines, but they now have their own digestive systems, thanks to extensive surgery to connect their intestinal tracts. The boys were joined from breast bone to belly button.
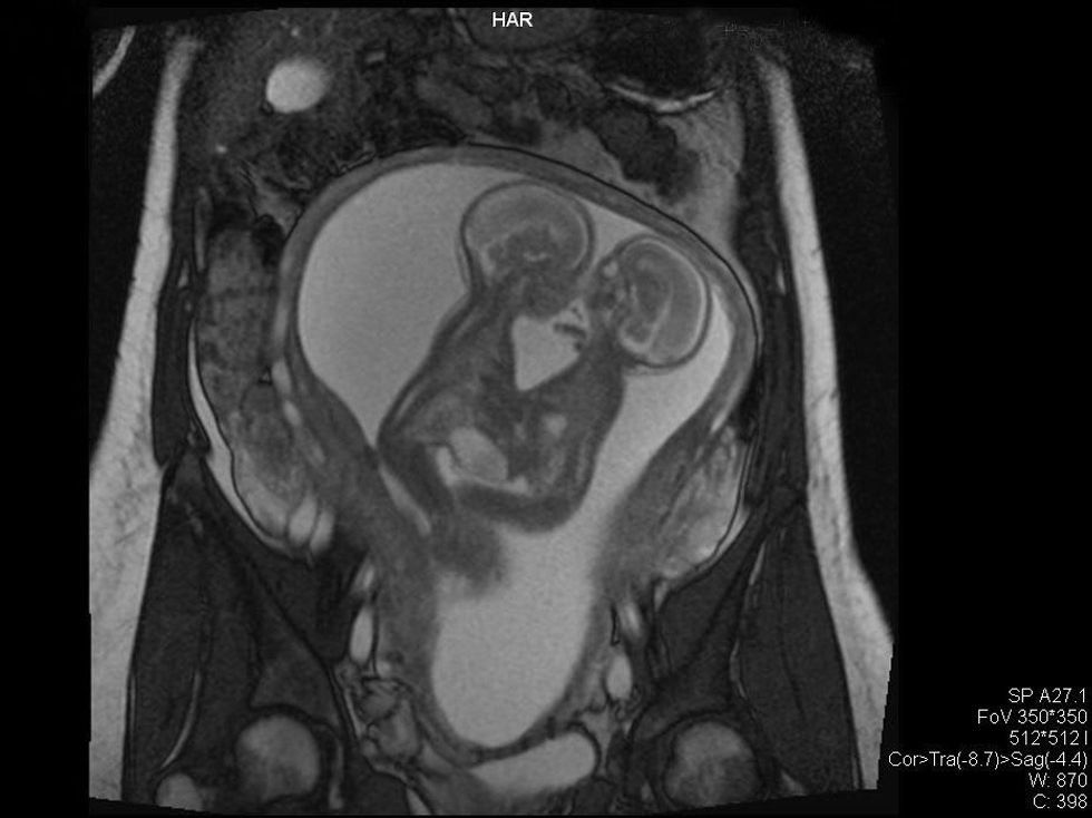
Dave and Jenni Ezell said making decisions about the complicated birth of their sons was the hardest thing they've ever had to do. After an MRI showed the twins were conjoined, the couple's first doctor recommended they abort the babies, because they had such a small chance of surviving.
"It was the hardest decision a mother has to make about her babies," Jenni said through tears as she recalls the experience. But the doctor preparing to do the abortion sent Jenni to Medical City Children's hospital in Dallas for a second opinion. That was when a doctor told the Ezells there was a good chance the boys could survive birth and beyond.
"I could not contain my joy," Jenni said. "From that point on, we have stuck with Medical City."
The couple praised the doctors, nurses and surgeons at Medical City, calling them close friends and practically family. "I guess the lesson here is, have faith," Dave said.
Due to the twins' high risk of infection, the couple hasn't yet held Owen and Emmett, but Dave and Jenni are with them as much as possible and are allowed to touch them. Jenni said the first meeting between mother and sons was emotional.
"I just cried. It was amazing to see them," said Jenni, who has chronicled the entire experience on her blog.
Doctors aren't sure when the boys will be able to go home and join the Ezells' other two sons in Dallas. Although they estimate the twins will need at least two or three more surgeries, the most complicated procedure is complete.
"I'm already planning their first birthday party," Jenni said. "I'm looking forward to everything."








